Is paola from 90 day fiance a model?
Score: 4.9/5 (25 votes) The 90 Day Fiance OG was proud to share this life update. Paola is a wife, mom, model, fitness enthusiast, and as of last week, a...
Timely insights and essential news for informed readers.
Score: 4.9/5 (25 votes) The 90 Day Fiance OG was proud to share this life update. Paola is a wife, mom, model, fitness enthusiast, and as of last week, a...
Score: 4.3/5 (47 votes) oblateness = C * [R^3/(M * P^2)] where C is a constant that depends on the mass distribution of the body in question, so it varie...
Score: 4.1/5 (36 votes) The berries are also popular with raccoons, opossums, skunks, foxes, squirrels, chipmunks and other rodents. The leaves and stems...
Score: 4.8/5 (27 votes) He asks her to teach him how to make such tasty rice balls, and Nanaba happily agrees. Another time, both Nanaba and Mike slept t...
Score: 4.1/5 (71 votes) Hurricane Nana formed Wednesday night, becoming the sixth hurricane of the 2020 season. Where is Hurricane Nana heading? Nana str...
Score: 4.2/5 (39 votes) Email - Send us a message at or for any feedback related to our service. If you want to log a complaint/query, please click here ...
Score: 4.6/5 (13 votes) In the Heights was filmed on location in the upper Manhattan neighborhood of Washington Heights, in New York City. It's the ...
Score: 5/5 (13 votes) In October, Megan addressed the shooting in an op-ed in the New York Times. "I was recently the victim of an act of violence by a m...
Score: 4.8/5 (57 votes) Can I shadow a doctor in Canada? Students frequently ask if it's legal for them to shadow a doctor in Canada, due to the cou...
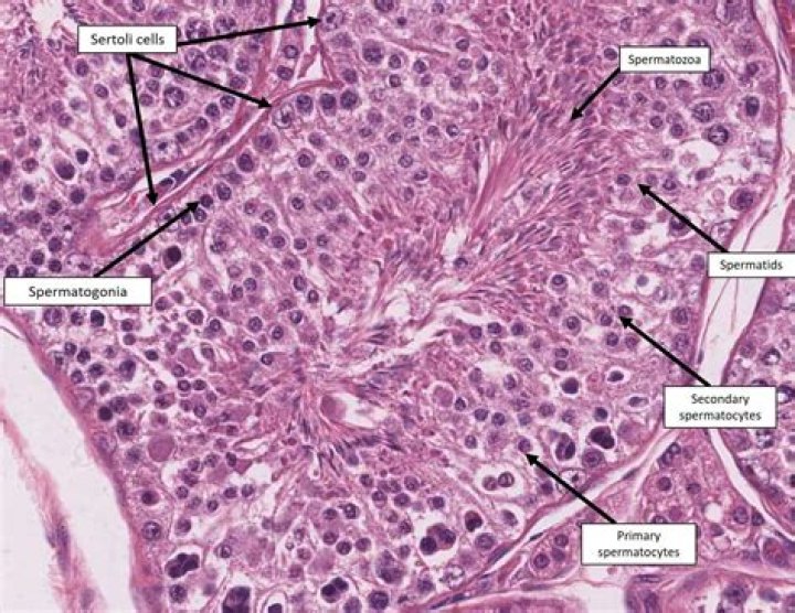
Score: 4.2/5 (34 votes) The male gonads, or testes, produce sperm within the seminiferous tubules; the sperm are housed here until they are nearly mature...